«Режим ожидания»

Фото: Екатерина Бовкунова

Этот проект — попытка передать в фотографии состояние неопределенности и страх болезни, когда каждый новый день прожит в режиме ожидания. Одновременно проект направлен на то, чтобы изменить восприятие болезни Паркинсона, вывести ее из зоны замалчивания и предвзятости, сделать частью открытого диалога о человеческой уязвимости, о социальной адаптации и способности общества признавать и поддерживать людей с разнообразным телесным и психологическим опытом

Современное общество не готово принять болезнь Паркинсона, отгораживаясь от нее, как от чего-то постыдного или неправильного. В условиях, когда нормы продуктивности, контроля и «здорового тела» доминируют в общественном воображении, любое отклонение от них воспринимается как сбой — как нечто, что нужно скрыть, изолировать или исправить. Человек с диагнозом теряет социальную видимость, его роль в обществе постепенно обнуляется. Болезнь как скрытый, но формирующий элемент жизни становится не только медицинским диагнозом, но и метафорой существования — тревожного, нестабильного, разрушающегося.

Крылья птицы расправлены, но больше не могут подняться в воздух. Ножницы разрезают перья, вторгаясь в ее тело, — этот жест превращается в метафору болезни, которая разрывает естественный ритм жизни. Взгляд застывает в точке, где свобода становится неподвижностью, а возможность полета — памятью
Фото: Екатерина Бовкунова

В моем проекте метафора становится инструментом для осмысления растерянности и страха. Я использую повтор как визуальный прием, подчеркивая цикличность этих состояний, их постоянное возвращение и невозможность преодолеть их. Фотография превращается в пространство, где внутренние переживания обретают форму и становятся доступными для осознания.

Слева: мое тело раздроблено, разделено на куски и вывешено на обозрение. Болезнь дробит тело, лишая его прежней связности и подчиненности. Справа: мама сидит в кресле, опутанная веревками. Нити оплетают ее тело, превращая пространство в ловушку. Болезнь связывает, ограничивает движение, лишает свободы. Этот образ — о неразрывности связей, вплетенных в нас самой природой, о генетическом коде, которому невозможно противостоять
Фото: Екатерина Бовкунова

Работая с семейными фотографиями, я деконструирую их, изменяя один слой за другим. Лица родных теряют четкость, жесты — определенность. Получившиеся изображения — это интерпретация зрительного искажения, дрожащая, распадающаяся реальность. Люди и предметы находятся вне «реального мира», становясь его болезненным отражением. Фотография теряет документальность, превращаясь в хрупкую пленку памяти. Я пытаюсь понять, почувствую ли я границу между «до» и «после».

Мамин путь

Моя мама приехала в Ленинград молодой девушкой. Сначала устроилась на почту, потом работала нянечкой в детском саду. Позже окончила курсы и стала воспитателем. Когда денег не хватало, бралась за любую работу: кафе, магазин колготок. Мама всегда работала.

Слева: измененное семейное фото. Мама в школе-интернате, десятый класс. Справа: измененное семейное фото. Я, сестра и мама возле озера
Фото: Екатерина Бовкунова

В тот день, когда она вдруг не смогла подписать документы — просто не удержала ручку в руке, — ее первая мысль была не о болезни, а о том, что она устала и нужно немного отдохнуть. Но отдых не помог. Сначала ее перестала слушаться рука, потом нога, потом голова начала трястись.

Я помню, как мама собрала нас троих — меня, брата и сестру — и сообщила: у нее болезнь Паркинсона. «Это наследственное. Болезнь может передаться и вам. Мне очень жаль. Простите меня».

Я сижу в комнате, где стены покрыты нарисованными лицами. Каждое из них простое, схематичное, и все же в их повторе чувствуется нарастающее давление. Сотни взглядов, одинаковых и безликих, окружили меня, превратив пространство в замкнутый круг
Фото: Екатерина Бовкунова

Приговор

Так в жизни мамы начались врачи, таблетки и постоянная борьба с телом, которое больше не слушалось. Очень долго мне было трудно находиться рядом, видеть маму другой, замечать изменения, что происходили с ней. Постоянное подергивание вызывало злость. Хотелось крикнуть: «Мам, остановись, перестань! Ты же можешь не делать этого, просто лучше старайся!» Но она больше не могла.

Слева: измененное семейное фото. Портрет мамы в юности. Справа: измененное семейное фото. Семейный портрет
Фото: Екатерина Бовкунова

Врачи говорили: 90% пациентов с таким диагнозом через десять лет уже не встают с постели. Паркинсон — нейродегенеративное наследственное заболевание, которое приводит к прогрессирующей утрате функции нервных клеток в черной субстанции головного мозга, отвечающей за движения. Тремор, ригидность, замедление, нарушение баланса — клинические проявления, которые становятся неотъемлемой частью жизни. Причины возникновения заболевания неизвестны. Итог — обездвиживание.

Черная субстанция, стекающая по руке, становится образом болезни, которая медленно, но неотвратимо сковывает движения. Болезнь обволакивает, меняет границы тела, делает его хрупким и уязвимым
Фото: Екатерина Бовкунова
Слева: мама стоит у стены, держась за руку куклы, которую она сделала сама. Лишенный движения человек превращается в подобие игрушки — форму, теряющую самостоятельность. Кукольный мир становится для мамы реальнее настоящего, отказавшегося от нее. Справа: дочь держит в руках горсть булавок, острые кончики направлены в ее сторону. Это ощущение страха, с которым приходится жить. Он прячется внутри, но в любой момент может вырваться наружу, парализовать движение, оставить след
Фото: Екатерина Бовкунова
Лекарства — теперь это неотъемлемая часть маминой жизни
Фото: Екатерина Бовкунова

Сопротивление

Через годы мама научилась жить с болезнью. Она приняла ее, но не смирилась: для нее лечь — значит сдаться, а это не про нее. Она продолжает рисовать, складывать оригами, мастерить цветы и своих странных кукол — словно упрямо доказывает, что тело может предавать, но желание жить всегда оказывается сильнее болезни. Каждый ее день — это маленькая победа.

Мама сидит, засыпанная цветами, которые она делает из ткани изо дня в день, чтобы руки не забыли, как двигаться
Фото: Екатерина Бовкунова
Слева: мама сидит на кровати, дрожащими руками держа зеркало. В отражении я вижу себя — и наше сходство становится все яснее. Наши образы накладываются друг на друга, стирая границу между прошлым и будущим. В этом отражении — наследие, которого я боюсь, и встреча с собой, от которой невозможно уклониться. Справа: мама держит свой камень — груз, который невозможно отпустить. Он всегда рядом, готовый обрушиться вниз. Ноша болезни может быть поднята лишь на мгновение, но ее вес остается неотъемлемой частью жизни
Фото: Екатерина Бовкунова

Мой путь

Через несколько лет мне исполнится столько же, сколько было маме, когда она впервые услышала диагноз «болезнь Паркинсона». Никто не может сказать, передалась ли она мне или моим детям. Нам остается только ждать.

Я лежу в ванне, пытаясь избавиться от повторяющихся панических атак. Струя воды льется мне на лицо. Я пытаюсь дышать. Мне страшно
Фото: Екатерина Бовкунова
Слева: лицо превращается в бесформенную поверхность, за которой исчезает «я». Болезнь Паркинсона поглощает человека, оставляя лишь следы присутствия. Справа: образ материнства превращается в безжизненный жест, в форму, не знающую ни боли, ни памяти, ни наследия. Вопрос, что именно переходит дальше — жизнь или болезнь, остается без ответа
Фото: Екатерина Бовкунова

Сны

Я вижу туман, который медленно опускается на мой путь. Он пока далеко, где-то на горизонте восприятия. Мир выглядит ясным, но ты не можешь найти в нем свое место. Я иду по следам, оставленным кем-то до меня. Все видят меня, но никто не видит, что происходит внутри. Я остаюсь за стеклом, а мир проходит мимо, не замечая, как тяжело мне дышать. Я будто стою на перекрестке, не зная, в какой стороне скрыта угроза. Что именно из этих неизведанных тропинок, вытканных в моей ДНК, обернется для меня благословением, а что останется как бремя.

Клетка становится метафорой наследия болезни. Сперва — попытка сопротивления, затем — смирение и неподвижность. Повторяющийся образ подчеркивает цикличность страха и безысходности, которые возвращаются вновь и вновь
Фото: Екатерина Бовкунова

Страх

Страх — это пустое место между вдохом и выдохом, когда каждое движение, каждое слово звучит как вопрос, на который нет ответа. Он начинается где-то в кончиках пальцев ног, медленно скользит по венам, поднимаясь все выше и выше. Ноги становятся тяжелыми и вязкими, руки немеют, будто их сковывает невидимая сила. Все тело цепенеет, оно уже мне неподвластно. Я чувствую, как страх дотягивается до горла, мне трудно вздохнуть. Воздух становится густым, словно тягучая смола, каждый глоток дается с трудом. Сердце бьется так громко, что его стук отдается в ушах, сливаясь с нарастающим гулом в голове. Мысли путаются, мир вокруг теряет четкость, и я остаюсь один на один с этим всепоглощающим ужасом, который, кажется, вот-вот накроет меня целиком. Страх быть узнанным не по лицу, а по тем движениям, которые ты уже не контролируешь.

Болезнь Паркинсона передается по наследству, и это ощущается как предопределенность, с которой ничего невозможно сделать
Фото: Екатерина Бовкунова
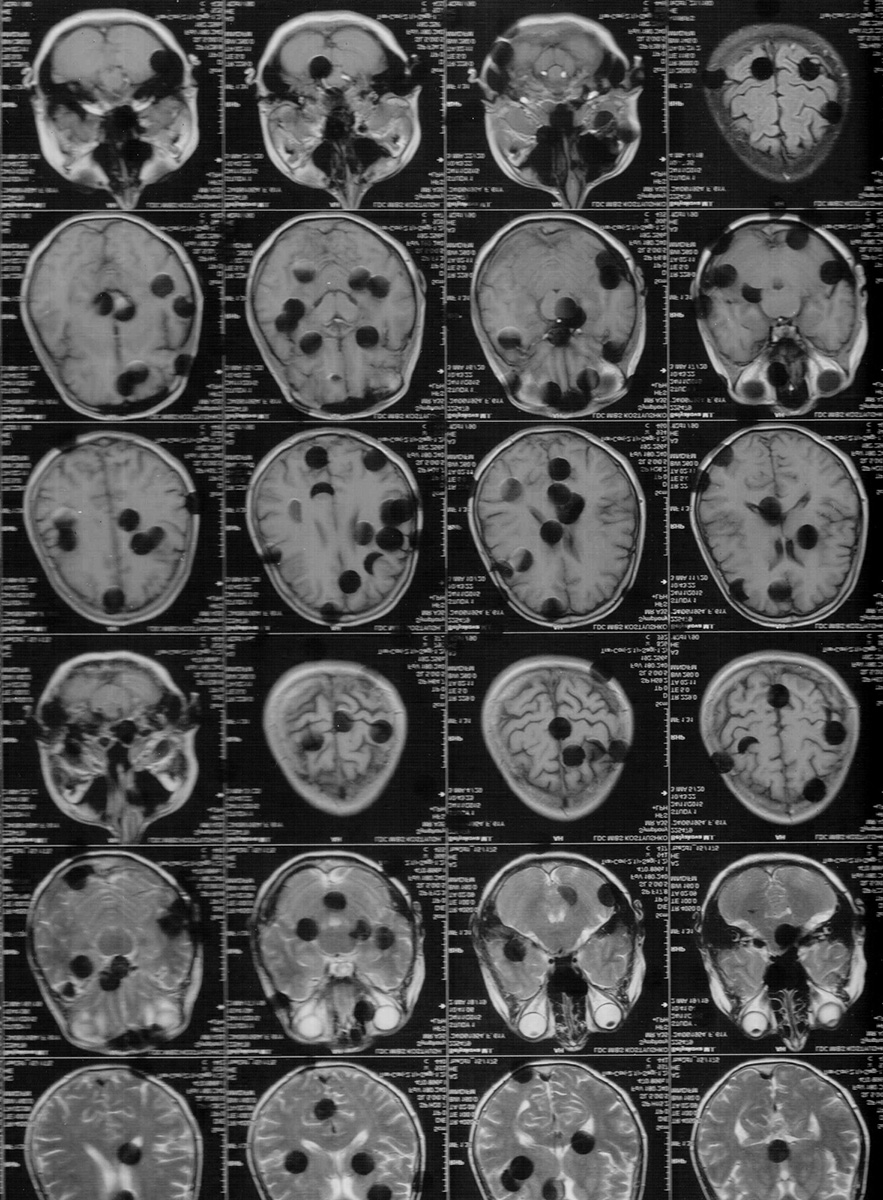
Слева: МРТ головного мозга, испещренного пробелами и дырами. Болезнь Паркинсона разрушает нервные клетки в черной субстанции, отвечающей за движения, оставляя пустоты — как в ткани мозга, так и в повседневной жизни. Справа: руки скрывают лицо. В центре — ожог, тихая метка исчерпанности, точка, за которой начинается пустота
Фото: Екатерина Бовкунова
Змея, словно болезнь, вползает в мою жизнь и удваивается в отражении. Ее образ дробится, как и восприятие будущего, в котором нет уверенности
Фото: Екатерина Бовкунова

Злость

Злость — это огонь, который горит внутри, но не дает возможности освободиться. Когда ты смотришь на свое тело как на чужого спутника, который уходит, оставляя тебя позади. Эта ярость не в том, чтобы разрушить, а в том, чтобы понять, почему все это происходит с тобой.

Слева: мама украшает мертвое дерево искусственными цветами. Это метафора невозврата, но и жест сопротивления: даже там, где жизнь остановилась, она продолжает создавать красоту. Этот снимок — часть нашей коллаборации с мамой, в которой она становится не только героиней, но и соавтором. Справа: корни срезанных цветов в вазе. Они питают и разрушают, сохраняют и парализуют. В этой схватке нет будущего
Фото: Екатерина Бовкунова
Спасибо, что дочитали до конца!

Каждый день мы пишем о самых важных проблемах в нашей стране и предлагаем способы их решения. За девять лет мы собрали 300 миллионов рублей в пользу проверенных благотворительных организаций.

«Такие дела» существуют благодаря пожертвованиям: с их помощью мы оплачиваем работу авторов, фотографов и редакторов, ездим в командировки и проводим исследования. Мы просим вас оформить пожертвование в поддержку проекта. Любая помощь, особенно если она регулярная, помогает нам работать.

Оформив регулярное пожертвование на сумму от 500 рублей, вы сможете присоединиться к «Таким друзьям» — сообществу близких по духу людей. Здесь вас ждут мастер-классы и воркшопы, общение с редакцией, обсуждение текстов и встречи с их героями.

Станьте частью перемен — оформите ежемесячное пожертвование. Спасибо, что вы с нами!

Помочь нам

Популярное на сайте

Мама сидит на краю кровати, через минуту она заснет. Я лежу рядом, прижимаясь головой к ее коленям, пытаясь удержать ее в настоящем моменте. Из-за болезни и лекарств она всегда засыпает

Фото: Екатерина Бовкунова
0 из 0

Крылья птицы расправлены, но больше не могут подняться в воздух. Ножницы разрезают перья, вторгаясь в ее тело, — этот жест превращается в метафору болезни, которая разрывает естественный ритм жизни. Взгляд застывает в точке, где свобода становится неподвижностью, а возможность полета — памятью

Фото: Екатерина Бовкунова
0 из 0

Мое тело раздроблено, разделено на куски и вывешено на обозрение. Болезнь дробит тело, лишая его прежней связности и подчиненности

Фото: Екатерина Бовкунова
0 из 0

Мама сидит в кресле, опутанная веревками. Нити оплетают тело, превращая пространство в ловушку. Болезнь связывает, ограничивает движение, лишает свободы. Этот образ — о неразрывности связей, вплетенных в нас самой природой, о генетическом коде, которому невозможно противостоять

Фото: Екатерина Бовкунова
0 из 0

Измененное семейное фото. Я и сестра с мамой у ручья. 1986 год

Фото: Екатерина Бовкунова
0 из 0

Измененное семейное фото. Мама в школе-интернате, десятый класс

Фото: Екатерина Бовкунова
0 из 0

Я сижу в комнате, где стены покрыты нарисованными лицами. Каждое из них простое, схематичное, и все же в их повторе чувствуется нарастающее давление. Сотни взглядов, одинаковых и безликих, окружили меня, превратив пространство в замкнутый круг

Фото: Екатерина Бовкунова
0 из 0

Листы начинают срываться со стены и падать. Воздух наполняется их шорохом, и кажется, что лица оживают, теряя порядок и покой. Они обступают со всех сторон, отражая мой страх перед распадом целостности, перед тем, что я теряю собственные очертания

Фото: Екатерина Бовкунова
0 из 0

Я остаюсь среди множества лиц. Они заполняют стены и пол, их взгляды пусты. Наступает тишина — им больше нечего сказать

Фото: Екатерина Бовкунова
0 из 0

Измененное семейное фото. Портрет мамы в юности

Фото: Екатерина Бовкунова
0 из 0

Измененное семейное фото. Семейный портрет

Фото: Екатерина Бовкунова
0 из 0

Черная субстанция, стекающая по руке, становится образом болезни, которая медленно, но неотвратимо сковывает движения. Болезнь обволакивает, меняет границы тела, делает его хрупким и уязвимым

Фото: Екатерина Бовкунова
0 из 0

Мама стоит у стены, держась за руку куклы, которую она сделала сама. Лишенный движения человек превращается в подобие игрушки — форму, теряющую самостоятельность. Кукольный мир становится для мамы реальнее настоящего, отказавшегося от нее

Фото: Екатерина Бовкунова
0 из 0

Дочь держит в руках горсть булавок, острые кончики направлены в ее сторону. Это ощущение страха, с которым приходится жить. Он прячется внутри, но в любой момент может вырваться наружу, парализовать движение, оставить след

Фото: Екатерина Бовкунова
0 из 0

Лекарства — теперь это неотъемлемая часть маминой жизни

Фото: Екатерина Бовкунова
0 из 0

Мама сидит, засыпанная цветами, которые она делает из ткани изо дня в день, чтобы руки не забыли, как двигаться

Фото: Екатерина Бовкунова
0 из 0

Мама сидит на кровати, дрожащими руками держа зеркало. В отражении я вижу себя, и наше сходство становится все яснее. Наши образы накладываются друг на друга, стирая границу между прошлым и будущим. В этом отражении — наследие, которого я боюсь, и встреча с собой, от которой невозможно уклониться

Фото: Екатерина Бовкунова
0 из 0

Мама держит свой камень — груз, который невозможно отпустить. Он всегда рядом, готовый обрушиться вниз. Ноша болезни может быть поднята лишь на мгновение, но ее вес остается неотъемлемой частью жизни

Фото: Екатерина Бовкунова
0 из 0

Я лежу в ванне, пытаясь избавиться от повторяющихся панических атак. Струя воды льется мне на лицо. Я пытаюсь дышать. Мне страшно

Фото: Екатерина Бовкунова
0 из 0

Лицо превращается в бесформенную поверхность, за которой исчезает «я». Болезнь Паркинсона поглощает человека, оставляя лишь следы присутствия

Фото: Екатерина Бовкунова
0 из 0

Образ материнства превращается в безжизненный жест, в форму, не знающую ни боли, ни памяти, ни наследия. Вопрос, что именно переходит дальше — жизнь или болезнь, остается без ответа

Фото: Екатерина Бовкунова
0 из 0

Болезнь Паркинсона передается по наследству, и это ощущается как предопределенность, с которой ничего невозможно сделать

Фото: Екатерина Бовкунова
0 из 0

МРТ головного мозга, испещренного пробелами и дырами. Болезнь Паркинсона разрушает нервные клетки в черной субстанции, отвечающей за движения, оставляя пустоты — как в ткани мозга, так и в повседневной жизни

Фото: Екатерина Бовкунова
0 из 0

Руки скрывают лицо. В центре — ожог, тихая метка исчерпанности, точка, за которой начинается пустота

Фото: Екатерина Бовкунова
0 из 0

Змея, словно болезнь, вползает в мою жизнь и удваивается в отражении. Ее образ дробится, как и восприятие будущего, в котором нет уверенности

Фото: Екатерина Бовкунова
0 из 0

Клетка становится метафорой наследия болезни. Сперва — попытка сопротивления, затем — смирение и неподвижность. Повторяющийся образ подчеркивает цикличность страха и безысходности, которые возвращаются вновь и вновь

Фото: Екатерина Бовкунова
0 из 0

Клетка становится метафорой наследия болезни. Сперва — попытка сопротивления, затем — смирение и неподвижность. Повторяющийся образ подчеркивает цикличность страха и безысходности, которые возвращаются вновь и вновь

Фото: Екатерина Бовкунова
0 из 0

Клетка становится метафорой наследия болезни. Сперва — попытка сопротивления, затем — смирение и неподвижность. Повторяющийся образ подчеркивает цикличность страха и безысходности, которые возвращаются вновь и вновь

Фото: Екатерина Бовкунова
0 из 0

Мама украшает мертвое дерево искусственными цветами. Это метафора невозврата, но и жест сопротивления: даже там, где жизнь остановилась, она продолжает создавать красоту. Этот снимок — часть нашей коллаборации с мамой, в которой она становится не только героиней, но и соавтором

Фото: Екатерина Бовкунова
0 из 0

Корни срезанных цветов в вазе. Они питают и разрушают, сохраняют и парализуют. В этой схватке нет будущего

Фото: Екатерина Бовкунова
0 из 0
Спасибо, что долистали до конца!

Каждый день мы пишем о самых важных проблемах в стране. Мы уверены, что их можно преодолеть, только рассказывая о том, что происходит на самом деле. Поэтому мы посылаем корреспондентов в командировки, публикуем репортажи и фотоистории. Мы собираем деньги для множества фондов — и не берем никакого процента на свою работу.

Но сами «Такие дела» существуют благодаря пожертвованиям. И мы просим вас поддержать нашу работу.

Пожалуйста, подпишитесь на любое пожертвование в нашу пользу. Спасибо.

Поддержать
0 из 0
Листайте фотографии
с помощью жеста смахивания
влево-вправо

Подпишитесь на субботнюю рассылку лучших материалов «Таких дел»